Image
24 abril, 2026
Comentários

Saúde pública de VR ultrapassa 50 mil exames analisados com auxílio da Inteligência Artificial

A Prefeitura de Volta Redonda alcançou a marca de mais de 50 mil exames analisados com o apoio da Inteligência Artificial (IA) na rede pública de saúde. O resultado é fruto de um projeto inovador implantado em parceria com a empresa HarpiAI, que vem transformando a rotina médica e qualificando o atendimento prestado à população.

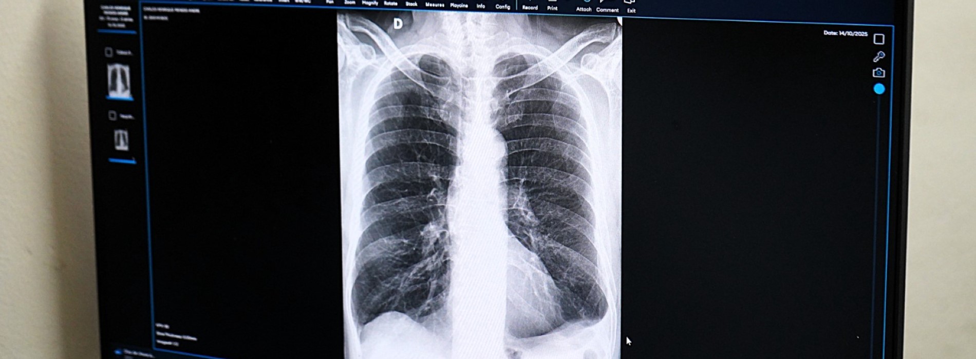
A tecnologia está presente nos hospitais São João Batista (HSJB) e Dr. Munir Rafful (HMMR), Dr. Nelson dos Santos Gonçalves (HNSG) e na UPA (Unidade de Pronto Atendimento) Santo Agostinho, atuando no suporte à análise de exames de radiografia, especialmente em contextos de urgência e emergência. Na prática, a IA funciona como uma segunda opinião diagnóstica.

O diretor da HarpiAI, Dr. Daniel Vital, destacou que a tecnologia atua como um suporte ao trabalho médico. “A tecnologia atua como um apoio ao médico, ampliando sua capacidade diagnóstica e trazendo mais agilidade para o atendimento. Não substitui o profissional, mas potencializa sua atuação, garantindo mais segurança e eficiência para o sistema de saúde”, disse.

Os exames seguem o fluxo normal das unidades de saúde e são automaticamente enviados para análise da ferramenta, que retorna em até cinco minutos com o diagnóstico que auxilia os médicos na tomada de decisão. O processo ocorre sem a necessidade de alterações na infraestrutura existente.

A tecnologia permite, ainda, a classificação automática dos exames por nível de prioridade – baixa, moderada e alta – contribuindo para a organização da fila de atendimento, conforme a gravidade dos casos. Até o momento, 44% dos exames analisados foram considerados normais, 31% classificados como de prioridade moderada e 25% como de alta prioridade.

Com isso, a rede municipal de saúde tem registrado redução no tempo de resposta, maior agilidade na identificação de casos críticos e mais eficiência na rotina médica, além de melhor organização no fluxo de exames.

“O uso da Inteligência Artificial tem trazido ganhos concretos para o atendimento, permitindo que as equipes atuem com mais rapidez e segurança, principalmente nos casos mais graves”, afirmou a secretária municipal de Saúde, Márcia Cury.

Segundo o secretário municipal de Desenvolvimento Econômico e Turismo, Sérgio Sodré, o projeto posiciona o município no cenário nacional de inovação. “Volta Redonda se posiciona como um município inovador, que investe em tecnologia de ponta para melhorar a vida das pessoas. Estamos avançando com responsabilidade, segurança e foco no cuidado com a população”, declarou.

Normas regulatórias

O uso da Inteligência Artificial na saúde também avança acompanhado de normas regulatórias. Em março deste ano, o Conselho Federal de Medicina (CFM) publicou diretrizes que definem critérios para a aplicação dessa tecnologia na prática médica no Brasil.

As soluções adotadas em Volta Redonda estão em total conformidade com essas regras, atendendo a todos os requisitos de segurança, supervisão médica, responsabilidade profissional e uso ético. Além disso, as ferramentas possuem validação junto à Anvisa (Agência Nacional de Vigilância Sanitária), o que reforça sua confiabilidade e segurança no ambiente clínico.

“Estamos investindo em soluções que tornam o atendimento mais eficiente e garantem mais qualidade no cuidado com a população”, afirmou o prefeito Antonio Francisco Neto.

Comentários